« 歯周内科治療の症例2 | メイン | 歯周病治療の今 »

症周内科治療の症例1

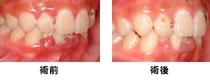
歯周病症例1

ムシ歯を主訴に来院 歯みがき時に出血
内服薬+カビ取り歯みがき使用(1週間)、 超音波除石、菌叢改善。


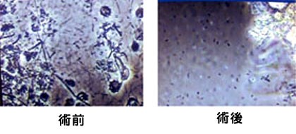
症例菌-1  
9
日目に除菌完了 歯みがき時に出血しなくなりました。

About

2007年10月13日 13:04に投稿されたエントリーのページです。

ひとつ前の投稿は「歯周内科治療の症例2」です。

次の投稿は「歯周病治療の今」です。

他にも多くのエントリーがあります。メインページアーカイブページも見てください。