
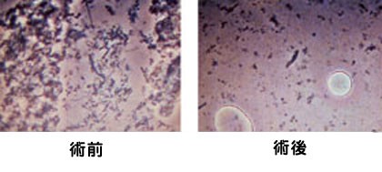
48歳女性。
歯ぐきの出血、口臭、歯の動揺、物が噛めないと訴えて来院。内服薬+カビ取りはみがきを8日間使用。
菌叢改善を認め、歯石除去その後、歯肉縁下歯石を徹底的に除去。
治療中は家庭でブラッシングを1ヶ月励行。
顕微鏡写真は約1ヶ月後の状態。
菌がいないのがわかります。
« P.M.T.C.とは | メイン | 症周内科治療の症例1 »

48歳女性。
歯ぐきの出血、口臭、歯の動揺、物が噛めないと訴えて来院。内服薬+カビ取りはみがきを8日間使用。
菌叢改善を認め、歯石除去その後、歯肉縁下歯石を徹底的に除去。
治療中は家庭でブラッシングを1ヶ月励行。
顕微鏡写真は約1ヶ月後の状態。
菌がいないのがわかります。