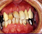
前歯がグラグラで噛めない、抜歯を希望で来院。でも歯は早く入れたい。(何日も歯抜けでは困る)と のこと。
その日は仮歯の型をとり、終了。

4日後無麻酔で、シンアツシンと指圧麻酔の併用で前歯4本を抜歯。
「牽引感が少しあったが、ほとんど何も感じなかった」とのこと。
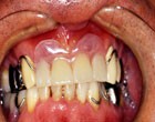
作っておいた仮歯を装着。
全く痛みなし。
無麻酔のツボを刺激しただけの抜歯だと傷の治りの早いのがわかる。